Smile Gallery

Achieve Your Dream Smile

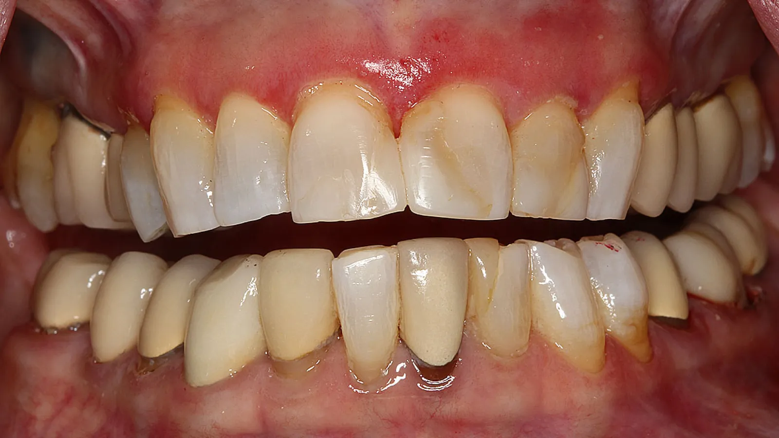
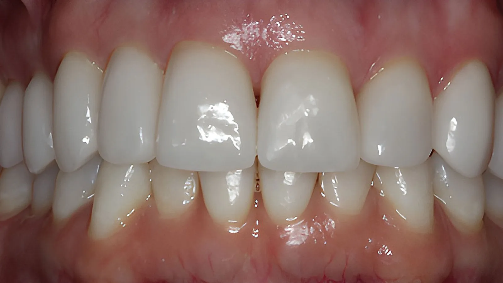
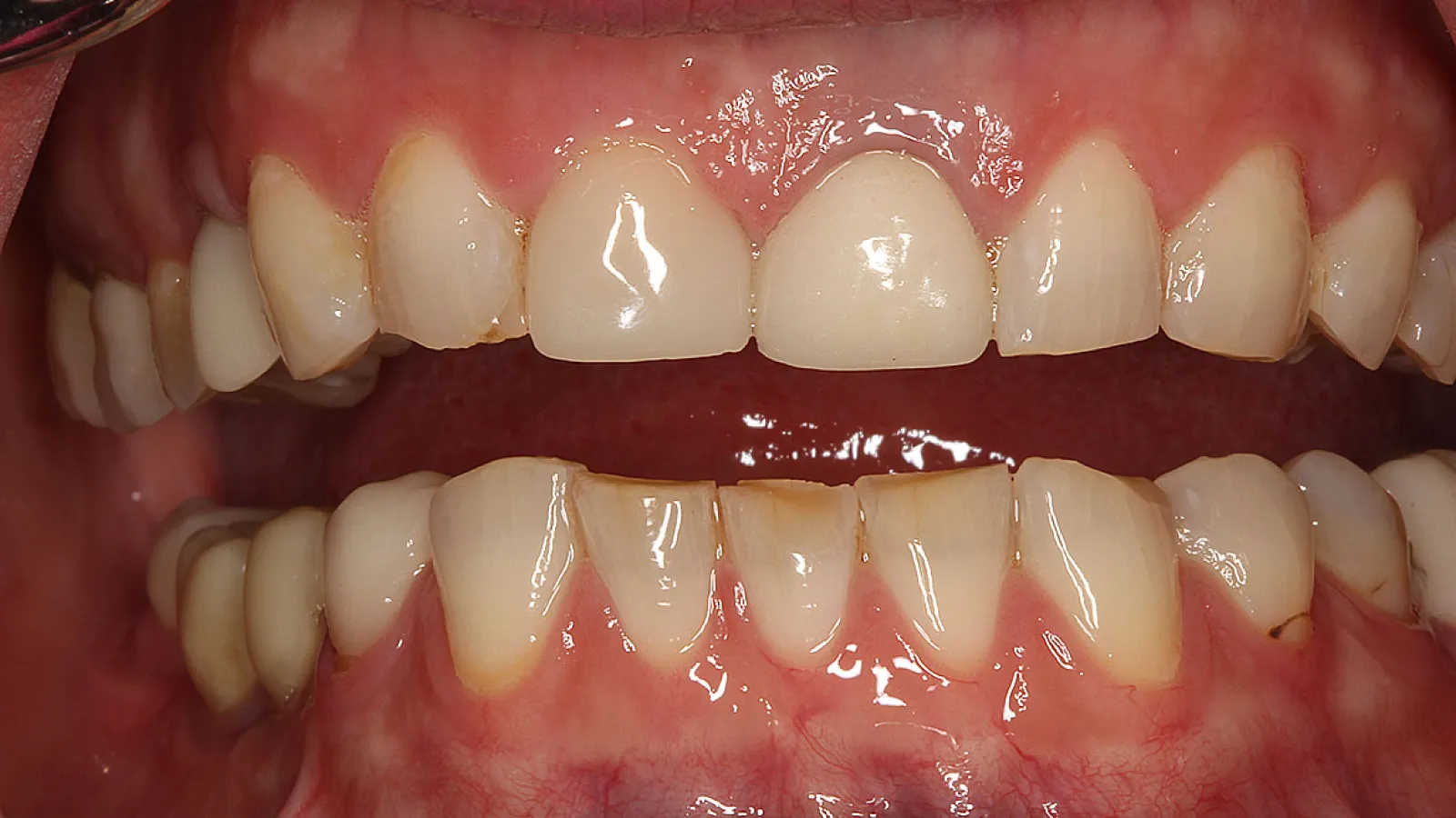
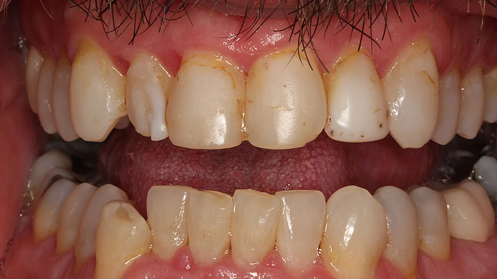
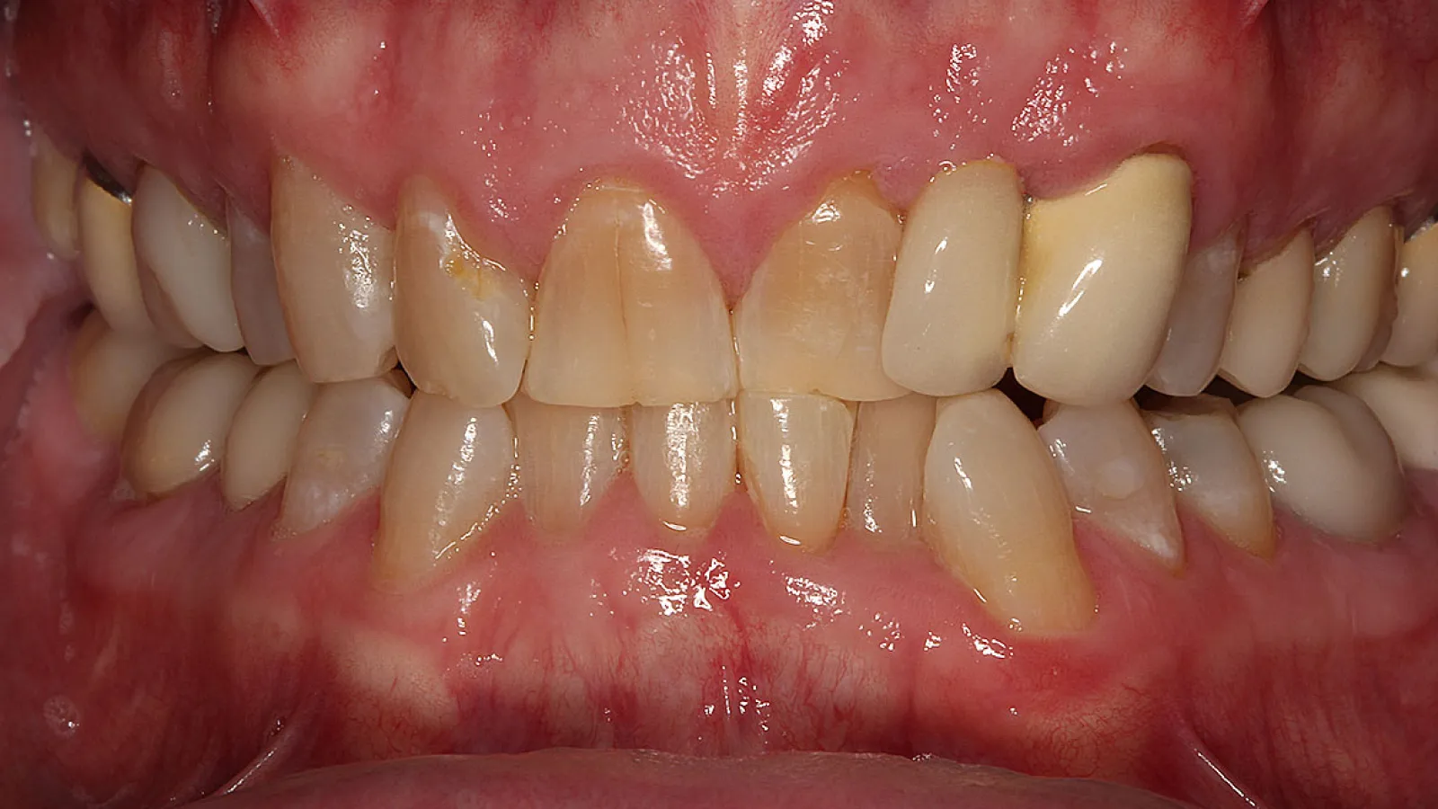
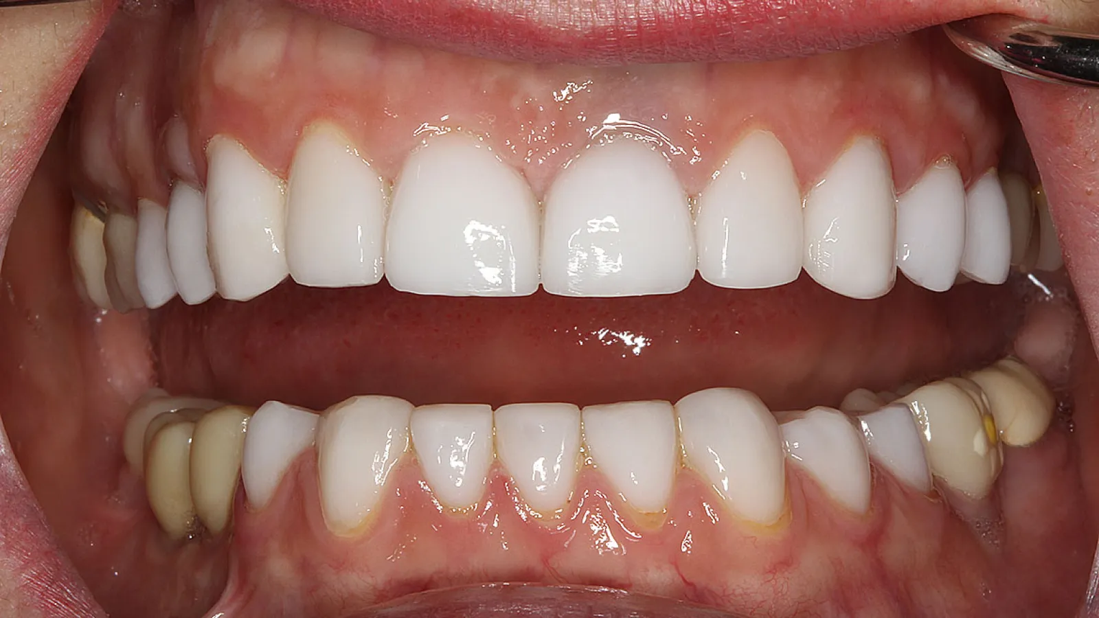
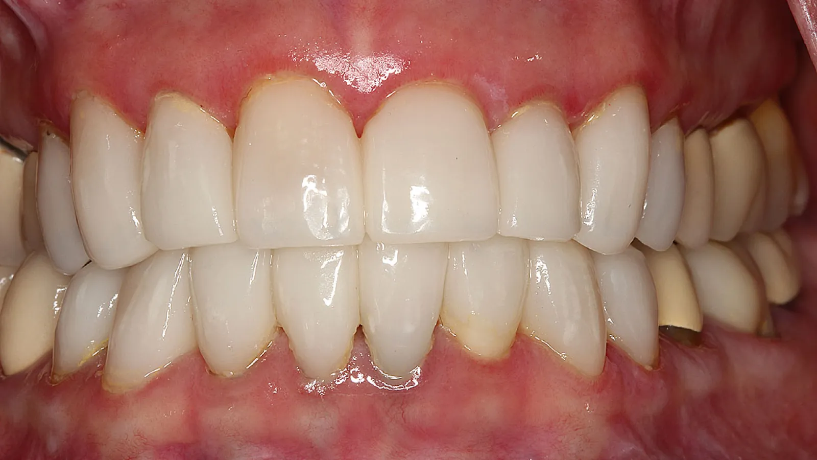
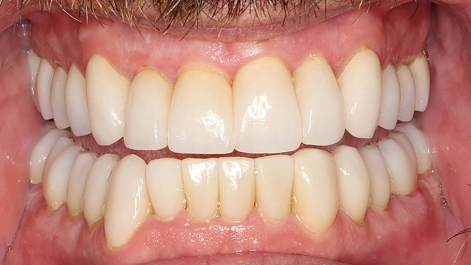
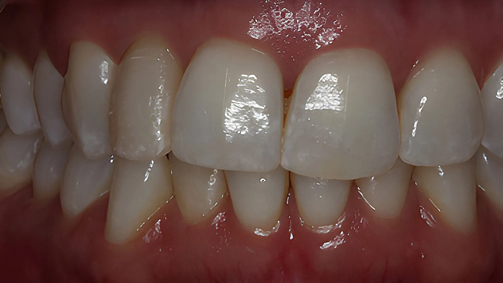
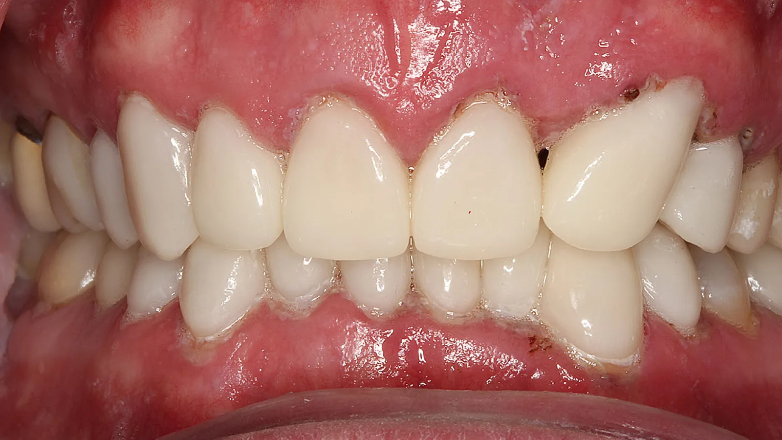
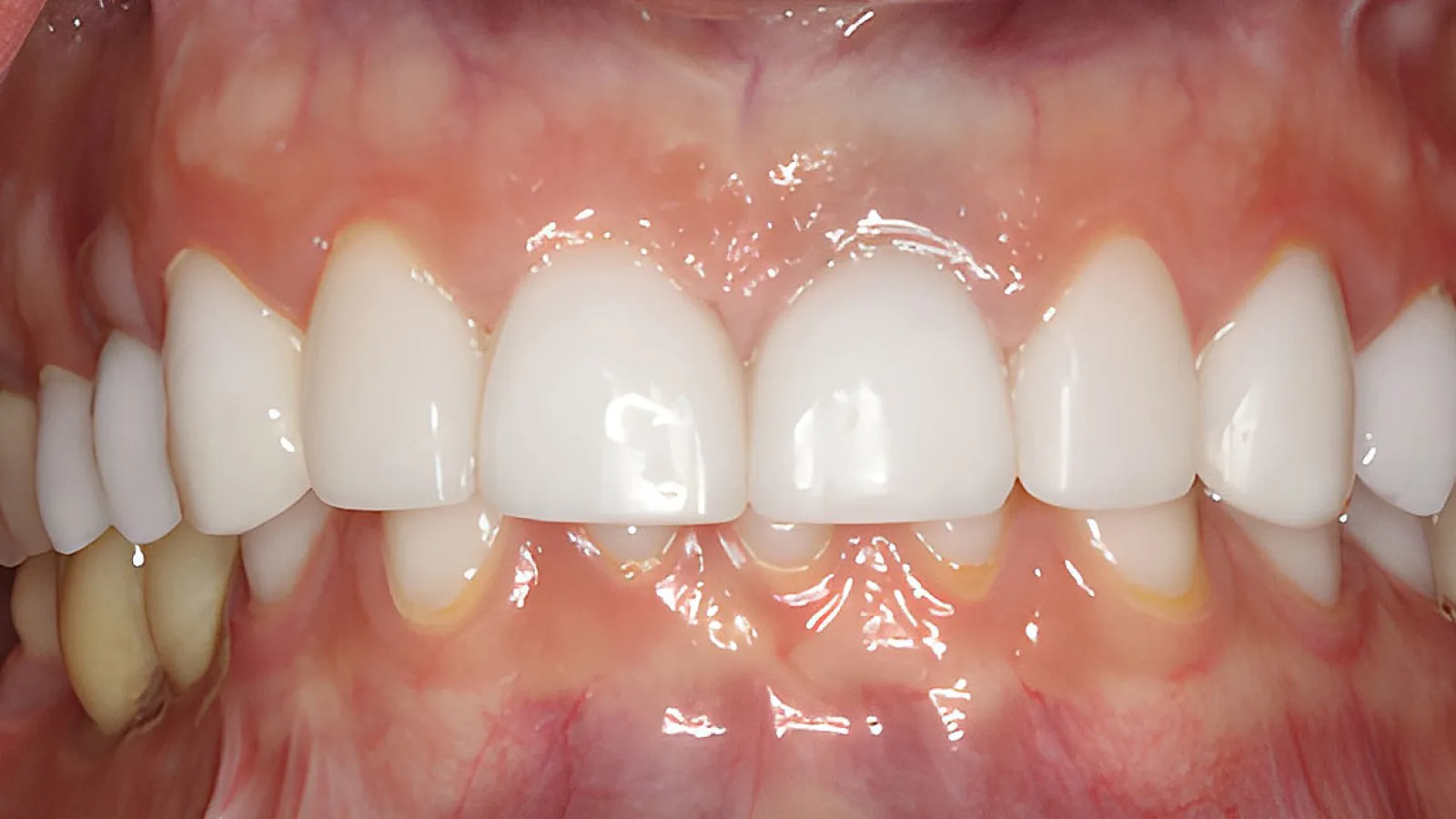
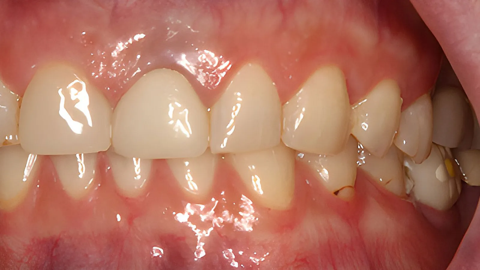
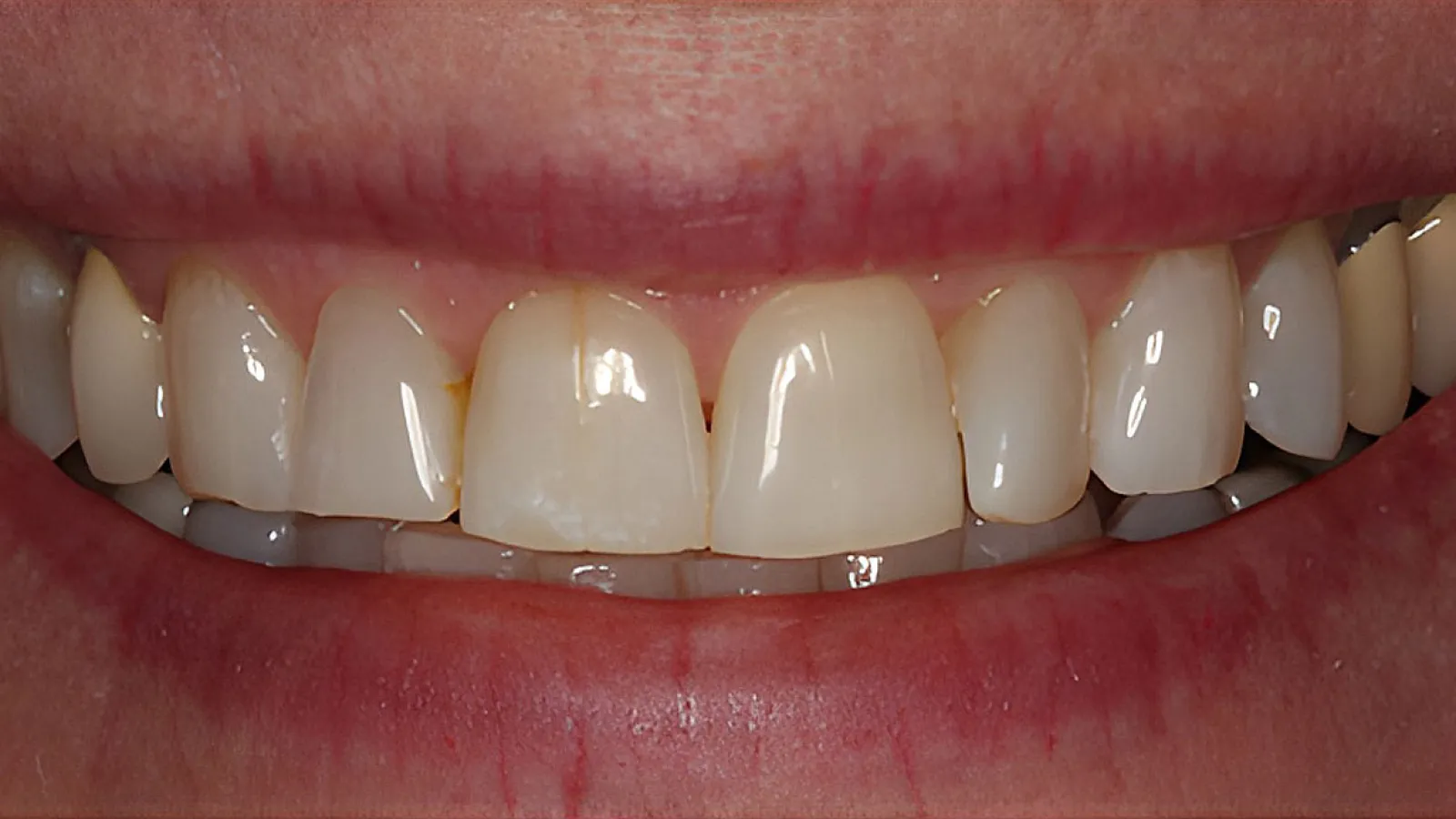
View Stunning Transformations in Our Lafayette Smile Gallery

When you visit Keene Smiles, we'll not only transform your smile, we'll help you gain a brand-new sense of self. When you feel confident about your appearance, it seems like anything is possible!

We invite you to view our Lafayette smile gallery and see the transformations we've performed over the years. Dr. Keene and our team are dedicated to giving you the same excellent dentistry we've given every one of our patients.

It's time to feel happy about smiling again! Contact our staff today to schedule a visit. Be sure to check out our patient testimonials, too!

Read Why Our Patients Love Us

For decades, I had a trusted dental office with the most amazing hygienist. Well, the dentist, I trusted and the hygienist, both retired and the rest of that clinic I used to go to doesn't cut the mustard for me. Quynh smiles feels like my new dental office. although I have only gotten a...

For decades, I had a trusted dental office with the most amazing hygienist. Well, the dentist, I trusted and the hygienist, both retired and the rest of that clinic I used to go to doesn't cut the mustard for me.

Quynh smiles feels like my new dental office. although I have only gotten a crown placed and one cleaning, I can say that the work is up to par with my current needs.

The office staff is professional, kind, courteous, knowledgeable, and responsive. Dr. Keene himself has great skill and for anyone needing a crown this is your guy. ONE STOP SHOP, he has the lab right there! For those of you who don't know what this means, it means that you leave with your permanent crown instead of the usual, 2 to 4 week wait with a temporary crown which often times falls out or has complication before the permanent crown gets sent back to your dentist.

Overall highly recommend this place.


Darcy P

Dr. Keene and his team are fantastic! I always feel like they are thorough, friendly, and cutting edge. Every cleaning and treatment I have received has left me feeling better and knowing that my teeth will stay healthy for a long, long time.

Katherine H

Absolutely amazing. Dr. Keene and his whole crew have literally saved my life. I had severe dental trauma growing up and highly neglected my teeth. Dr Keene laid out my options and helped me choose what was going to best for my health and my budget. His whole staff is truly so kind and caring. I...

Absolutely amazing. Dr. Keene and his whole crew have literally saved my life. I had severe dental trauma growing up and highly neglected my teeth. Dr Keene laid out my options and helped me choose what was going to best for my health and my budget. His whole staff is truly so kind and caring. I already have and will continue to refer anyone I know to him.


Amanda N

Keene Smiles is the Best! The staff is absolutely wonderful.
Dr. Keene and his staff are so kind. Shout out to my favorite hygienist ever,Rhonda.

Denise L

My visit was scheduled to replace a crown. Although I was very nervous about the work that would be performed, the staff made me comfortable and the procedure was as pain-free as can be under the circumstances. Dr. Keene explained every step of the process. The technology he uses to make the...

My visit was scheduled to replace a crown. Although I was very nervous about the work that would be performed, the staff made me comfortable and the procedure was as pain-free as can be under the circumstances. Dr. Keene explained every step of the process. The technology he uses to make the same day crown is simply amazing. So happy I found his practice!


Sara R

My visit was a quick and thorough tooth cleaning. I hadn't been Keene Smiles for some time because of the pandemic. I'm glad I went.
p.s—Kristin, the hygienist, was great!

Richard P

My first visit was very efficient from check-in to check-out. Every step was fully explained and I was given choices on optional treatments. Dr, Keene is very friendly and the staff was kind. I recommend him highly.

Carle C

The folks at Keene Smiles are efficient and proficient. My appointment was on time and the technician made me comfortable while she took the x-rays and did the cleaning. Dr. Keene explained the condition of my teeth in a very understandable manner.

Bob B

From the time you enter the door and Emily greets you with her great smile, you'll feel at ease and welcome. The entire staff will work to make you comfortable while they beautify your smile. The level of personal care and attention to detail are unmatched. Dr Keene is a true genius in the art...

From the time you enter the door and Emily greets you with her great smile, you'll feel at ease and welcome. The entire staff will work to make you comfortable while they beautify your smile. The level of personal care and attention to detail are unmatched. Dr Keene is a true genius in the art of cosmetic dentistry!

Thank you all for your dedication!


Amy H

This office is modern, well laid out, and clean. The employees are all very friendly and helpful. Dr. Keene is friendly, knowledgeable, and great to work with. I received same day service on a crown preparation and installation with fantastic results. I've been to many different dentists over...

This office is modern, well laid out, and clean. The employees are all very friendly and helpful. Dr. Keene is friendly, knowledgeable, and great to work with. I received same day service on a crown preparation and installation with fantastic results. I've been to many different dentists over the years from around the world. This office and their Doctor and services are the best I've experienced. Highly recommended even with an hour drive one way!


Shawn E